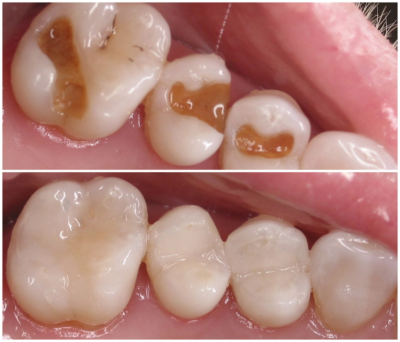
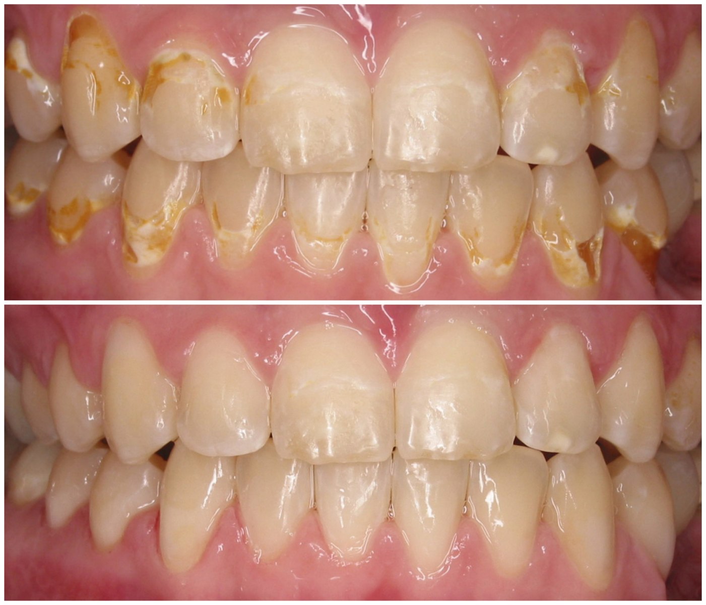
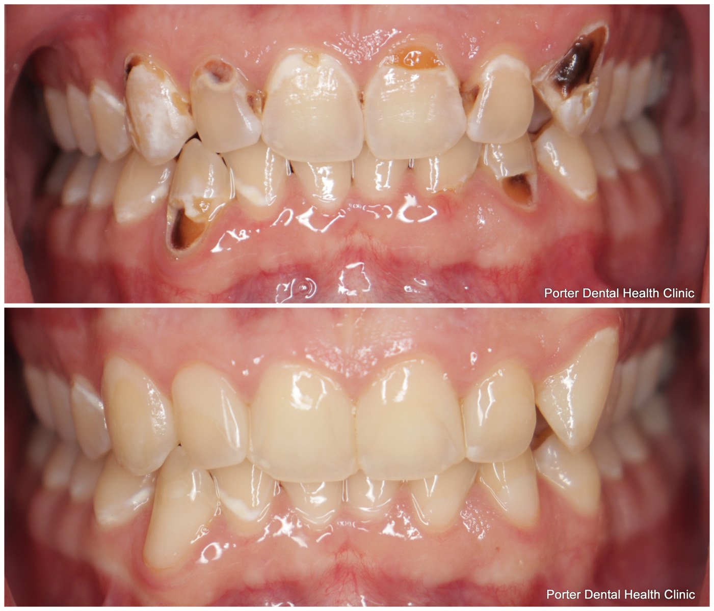
Composite Fillings
Before
After
contact us
Dr. Porter and Dr. Will, along with their team are are highly qualified and trusted in this community. With over 200 5-star reviews online, our competence and credibility can’t be doubted. So don’t wait to call. Make an appointment today!
*All indicated fields must be completed.
Please include non-medical questions and correspondence only.